En una sociedad en la que los reembolsos son cada vez menos cuantiosos y las enfermedades crónicas se traducen en un aumento de los procedimientos de RM y en tiempos de espera más largos, los servicios de radiología se ven sometidos a una presión cada vez mayor. La aceleración pone en riesgo la calidad de la imagen o bien se puede aplicar a todo el espectro de las exploraciones rutinarias. Por lo tanto, para satisfacer la creciente demanda de productividad, todavía es necesario dar un paso adelante más en cuanto a la aceleración. Aprovechando nuestra dilatada posición de liderazgo en el ámbito de la velocidad (de la mano de SENSE), Philips presenta Compressed SENSE, un avance en términos de productividad.
• Es una innovadora técnica de aceleración que no solo permite agilizar las secuencias, sino todo el estudio. • Implementación especial con la que las exploraciones en 2D y 3D pueden llegar a ser hasta un 50% más rápidas con una calidad de imagen prácticamente equivalente.1
• Se puede usar con todos los contrastes y con todas las regiones anatomías.
Queremos reducir los tiempos de adquisición, pero con la misma calidad de imagen".
Sabine Sartoretti, doctora en medicina, jefa del Servicio de Neurorradiología, Instituto de Radiología y Medicina Nuclear. Winterthur, Suiza .
Compressed SENSE aumenta la eficiencia de las exploraciones gracias a tiempos de exploración reducidos que no afectan a la calidad de la imagen".
Sachi Fukushima, radióloga, Hospital Central Kurashiki, Japón.

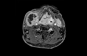
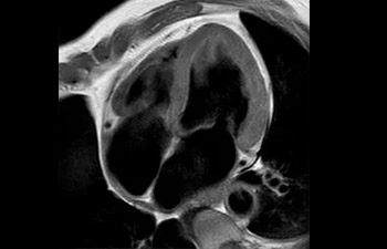
con Compressed SENSE

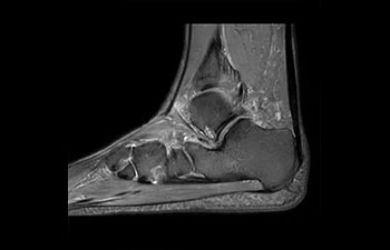
con Compressed SENSE

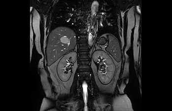
con Compressed SENSE

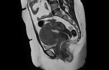
con Compressed SENSE

con Compressed SENSE

con Compressed SENSE

con Compressed SENSE

con Compressed SENSE
¿Necesita más información sobre Compressed SENSE? Nos pondremos en contacto con usted lo antes posible.

Director del servicio de radiología del A.Z. Sint-Jan Hospital, Brujas, Bélgica, especialista en radiología de cabeza y cuello en el A.Z. Sint Augustinus Hospital, Amberes, Bélgica

Obtenga más información acerca de los principios básicos de Compressed SENSE y de cómo introduce un cambio de paradigma en la productividad, cómo se diseñó Compressed SENSE bajo la premisa de la calidad de imagen y cómo impulsa la productividad en las imágenes clínicas por RM.

Lea las experiencias del Kantonsspital Winterthur (Suiza), para el que Compressed SENSE resultó ser un medio sencillo pero potente de acelerar las exploraciones de imágenes por RM para diferentes tipos de contraste y secuencias, tanto en 2D como en 3D.



El nuevo Ingenia Ambition de Philips ofrece modernas técnicas de imagen por RM para ayudarle a conseguir los mejores resultados clínicos, día tras día. Esta solución, basada en el nuevo y revolucionario imán BlueSeal, completamente aislado, le permite realizar operaciones de RM sin helio más productivas2.

La nueva solución Philips Ingenia Elition ofrece técnicas innovadoras de RM, creando nuevos senderos para la investigación clínica en imágenes de 3,0 T mediante nuevos diseños de gradientes y RF.

El nuevo Ingenia Prodiva 1.5T de Philips presenta una metodología muy intuitiva para ofrecer exploraciones rápidas de alta calidad en una gran variedad de aplicaciones avanzadas y pone de manifiesto su valor desde el primer día.
1 En comparación con las exploraciones de Philips sin Compressed SENSE. Los resultados de estudios de unos casos no predicen los resultados de otros casos. Estos pueden variar.
2 Con la tecnología Compressed SENSE y comparado con estudios de Philips realizados sin Compressed SENSE
You are about to visit a Philips global content page
ContinueLa información de esta página web está dirigida exclusivamente a profesionales sanitarios. Al hacer clic en "Aceptar", declara que es profesional sanitario.
Haga clic en "Cancelar" para ser redirigido a la página web de Philips.