
No es ningún secreto que las hepatopatías son una preocupación creciente para la salud.
En todo el mundo, las enfermedades hepáticas representan alrededor de 2 millones de muertes al año, con alrededor de 1 millón de ellas debidas a la cirrosis y 1 millón debidas a la hepatitis viral y el carcinoma hepatocelular. Las opciones de estilo de vida poco saludables, como la obesidad, el alcohol y el consumo de drogas, son las causas fundamentales. En la mayoría de los casos, la hapatopatía se puede prevenir1.
Durante décadas, la biopsia hepática ha sido el método convencional para la evaluación de la enfermedad y, más recientemente, se han incorporado métodos como la técnica MR Proton Density Fat Fraction (MR-PDFF, Densidad protónica de fracción grasa por RM) para medir la grasa hepática. Sin embargo, este método presenta varias barreras para los pacientes, entre las que destacan el dolor de la biopsia, el acceso a las imágenes de RM, su elevado coste y los prolongados tiempos de espera.
Aquí es donde entra Philips. Gracias a las innovaciones de los sistemas de ultrasonidos EPIQ & Affiniti de Philips, ahora existe una solución completa para la evaluación, tratamiento y monitorización de las enfermedades hepáticas, con cuatro funciones clave que se combinan en una efectiva herramienta.

con las herramientas de cuantificación de grasa hepática (LFQ) de Philips.

con imágenes ElastQ.*

durante las exploraciones con el transductor C5‐1 en comparación con los transductores convencionales.
*Vista en paralelo con una fiabilidad de imagen única y mapas de rigidez del tejido que ayudan a reducir los pasos del flujo de trabajo y permiten la correlación simultánea de mapas durante las fases de adquisición y medición.
El uso generalizado de esta tecnología en la población general podría ser útil para la detección de hepatopatías crónicas avanzadas, especialmente teniendo en cuenta que se puede realizar un estudio completo en menos de tres minutos con un método no invasivo en hepatopatías crónicas”.
Richard G. Barr, MD, PhD
Presidente, Consultor de radiología, Inc. (Youngstown, Ohio) Director médico, Southwoods Imaging
Aumente la confianza en el diagnóstico hepático con los últimos avances en técnicas generales ultrasonidos de Philips.

Las normas actuales para el diagnóstico y la medición de la esteatosis hepática no alcohólica (EHNA) (biopsia hepática y RM) no son prácticas por varias razones. La nueva técnica de adquisición de imágenes con atenuación de ultrasonidos podría ser útil para la detección de la EHNA. Un médico experto en el tema nos explica cómo.
Estrechamente relacionada con la obesidad, se estima que
la esteatosis hepática no alcohólica afecta a mil millones de personas en todo el mundo. Para obtener más información sobre la cuantificación de grasa hepática (LFQ), consulte este informe técnico de Philips.
Ahora que disponemos de un método cuantitativo para medir la grasa hepática, nos resultará mucho más fácil dejar que el médico remitente determine dónde se encuentra el paciente cuantitativamente en el espectro de la EHNA”.
Dr. Richard G. Barr, Southwoods Imaging,
Youngstown, Ohio, EE. UU.

ElastQ proporciona una evaluación en tiempo real de la rigidez tisular de onda de corte 2D (2D-SWE) no invasiva, reproducible y fácil de realizar. ElastQ también ofrece la posibilidad de realizar mediciones retrospectivas en imágenes almacenadas e incluye un mapa de fiabilidad para una visualización adecuada de la propagación de la onda de corte.
ElastPQ es un método de onda transversal (pSWE) que permite obtener valores de rigidez tisular del hígado. Mediante la adquisición de imágenes en tiempo real como guía, la ROI se sitúa sobre el área de interés y los datos de rigidez tisular se adquieren en cuestión de segundos. Se pueden registrar y generar varias muestras en un informe hepático.
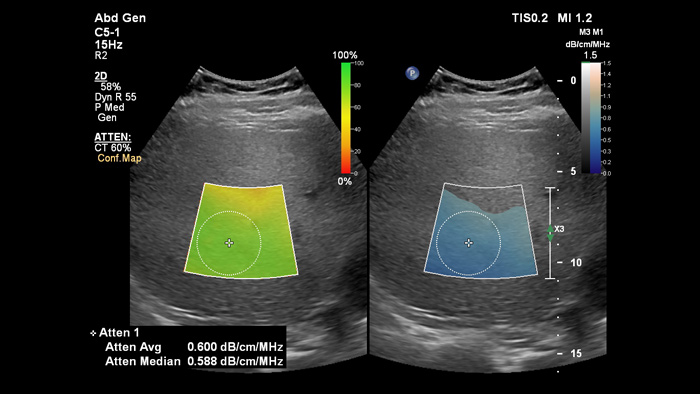
La obtención de imágenes de atenuación permite medir la cantidad de grasa presente en el hígado calculando el coeficiente de atenuación del sonido absorbido por el parénquima hepático. Este método proporciona parámetros de atenuación cuantitativos que pueden ayudar a los médicos en el tratamiento de pacientes con esteatosis hepática.
La tecnología de imagen HRI compara el brillo relativo del parénquima hepático con el riñón y proporciona información rápida y cuantificable sobre la esteatosis hepática.
Obtención de imágenes de atenuación

ElastQ imaging


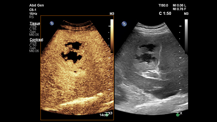
Los medios de contraste ecográficos pueden transformar el papel de la ecografía, de forma que los médicos puedan estudiar los patrones de realce de las lesiones hepáticas en tiempo real. Mediante los equipos ecográficos de Philips, los ultrasonidos con contraste mejorado se integran a la perfección en el flujo de trabajo estándar.




Tome decisiones fiables incluso en casos diagnósticos complejos gracias a las funciones de navegación guiada por aguja y fusión de imágenes de Philips. El flujo de trabajo agilizado permite a los médicos conseguir una fusión rápida y efectiva de imágenes TC/RM/PET mediante ecografía en tiempo real, mientras que la navegación guiada por aguja permite guiar la biopsia en lesiones pequeñas o de difícil acceso.2.
Mediante el uso de la función de contorno tumoral, los usuarios pueden planificar y dirigir las lesiones con una herramienta semiautomatizada que ayuda a trazar un contorno 3D alrededor de una estructura de interés, lo que puede mejorar la guía del procedimiento en casos difíciles en los que la lesión no se pueda visualizar fácilmente.



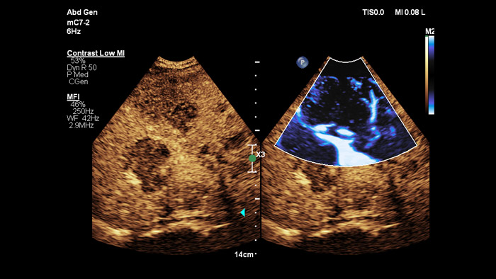
Hay muchos tipos de complexiones físicas; gracias a la tecnología PureWave Crystal, puede mejorar la penetración en tipos de anatomía difíciles de explorar y, al mismo tiempo, mantiene una excelente calidad de resolución de detalles, sensibilidad Doppler y rendimiento mejorado de ultrasonidos con contraste (CEUS).
La tecnología PureWave Crystal es el mayor avance en material piezoeléctrico para transductores en 40 años y es un 85 % más eficiente que los materiales piezoeléctricos convencionales, lo que da como resultado un rendimiento excepcional para todo tipo de pacientes.
El sistema de ultrasonidos EPIQ Elite de Philips ofrece un nivel de rendimiento clínico y un flujo de trabajo excelentes, así como una inteligencia avanzada a la altura de los retos que plantean las prácticas más complejas de hoy en día. La plataforma EPIQ trae las últimas soluciones al campo de los ultrasonidos con herramientas clínicamente configuradas y diseñadas para llevar la confianza en el diagnóstico a nuevos niveles.
El sistema de ultrasonidos Affiniti 70 ofrece una potente combinación de rendimiento y flujo de trabajo para un diagnóstico rápido y fiable.
En la elección de un nuevo sistema de ultrasonidos, lo más importante es el equilibrio: poder obtener rápidamente información de diagnóstico precisa, una interfaz sencilla e intuitiva, fácil acceso a características críticas, diseño ergonómico y tecnología punta.
1 Asrani et al, Burden of liver disease in the world. Journal ofhepatology, Vol 70, Issue 1, 2019.)
2 Kim E, Patel RS, Fischman AM, Nowakowski S, Lookstein RA. CT-Guided Liver Biopsy With Electromagnetic Tracking: Results From a Single-Center Prospective Randomized Controlled Trial. AJR 2014; 203:W715–W723)
Deje que Philips le ayude a aprovechar todo el potencial de los ultrasonidos en una amplia variedad de áreas de atención sanitaria con una gama integral de servicios, conocimientos y productos basados en el rendimiento.








You are about to visit a Philips global content page
ContinueLa información de esta página web está dirigida exclusivamente a profesionales sanitarios. Al hacer clic en "Aceptar", declara que es profesional sanitario.
Haga clic en "Cancelar" para ser redirigido a la página web de Philips.