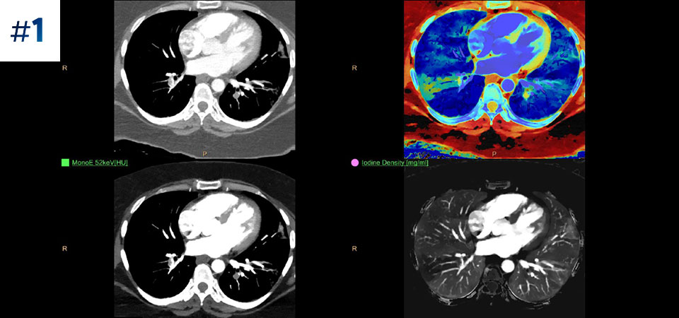
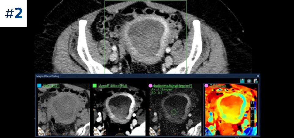
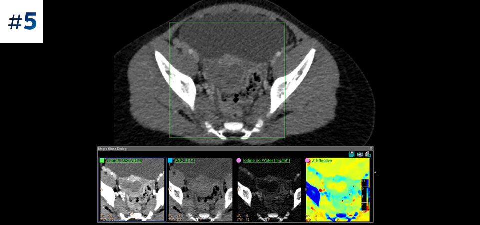
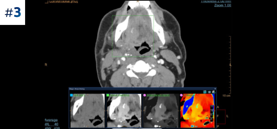
Mueva el cursor para ver la diferencia





Acceda al visionado exclusivo de la charla de Eliseo Vañó en el 35º Congreso Nacional de la SERAM a cerca de la revolucionaria tecnología de la detección espectral y su aplicación en diferentes casos clínicos.
Vaya más allá del CT convencional. Vea como la detección espectral puede mejorar su confianza diagnóstica.
Download the cases here
Revise aquí sus respuestas
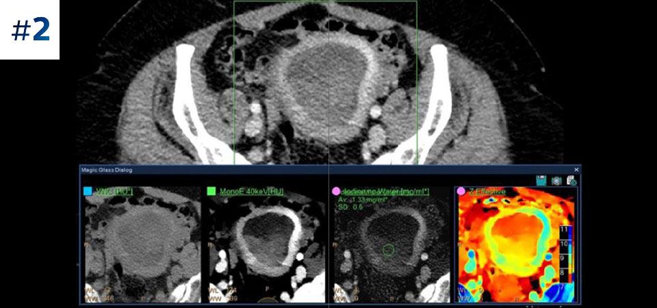
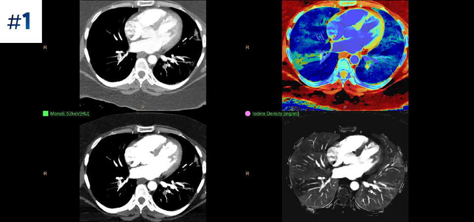
Nuestro CT con detección espectral de Philips, nos permite adquirir datos convencionales y espectrales en una sola exploración, sin cambios en nuestro flujo de trabajo actual.
Dr. Charles White
Profesor de Medicina Pulmonar y de Cuidados Críticos, Escuela de Medicina de la Universidad de Maryland

Observe las diferencias entre un detector espectral CT y un CT Convencional

Aprenda sobre las ventajas del detector espectral CT

Re-experimente la cumbre virtual sobre el CT espectral Philips 2020

Descubra todas las soluciones de CT

Entrevista Eliseo Vañó: La información espectral permite detectar antes las lesiones y caracterizarlas con mayor confianza
You are about to visit a Philips global content page
ContinueLa información de esta página web está dirigida exclusivamente a profesionales sanitarios. Al hacer clic en "Aceptar", declara que es profesional sanitario.
Haga clic en "Cancelar" para ser redirigido a la página web de Philips.