Médicos de EE. UU. y Europa describen su experiencia con el TAC espectral basado en detección y cómo les ayuda a aumentar la confianza en el diagnóstico, facilitar el flujo de trabajo, añadir valor y mejorar la atención al paciente en radiología, oncología y cardiología.

Acceda al visionado exclusivo del evento "El Futuro del CT" donde podrá ver las ponencias del Dr. Ramiro Méndez hablando sobre la aplicación del CT7500 en abdomen; Rolf Raaijmakers exponiendo casos internacionales; el Dr. Eliseo Vañó dando su experiencia con el CT espectral en servicio; la Dra. Diana Quiñones hablando sobre la aplicación en Neuroradiología y el Dr. Antonio Castellaccio hablando sobre el diagnóstico de precisión con el CT7500
en Radiología de Torax. Suscríbase y acceda ya a la playlist exclusiva.

Spectral siempre está activado, por lo que cada exploración ofrece resultados convencionales y 100% espectrales.

Amplíe las capacidades cardíacas y de urgencias/traumas, y cree nuevas posibilidades en procedimientos intervencionistas y de oncología radioterápica.

Se ha demostrado que las exploraciones rutinarias de TAC espectral basado en detección reducen el tiempo de diagnóstico en un 34%1.
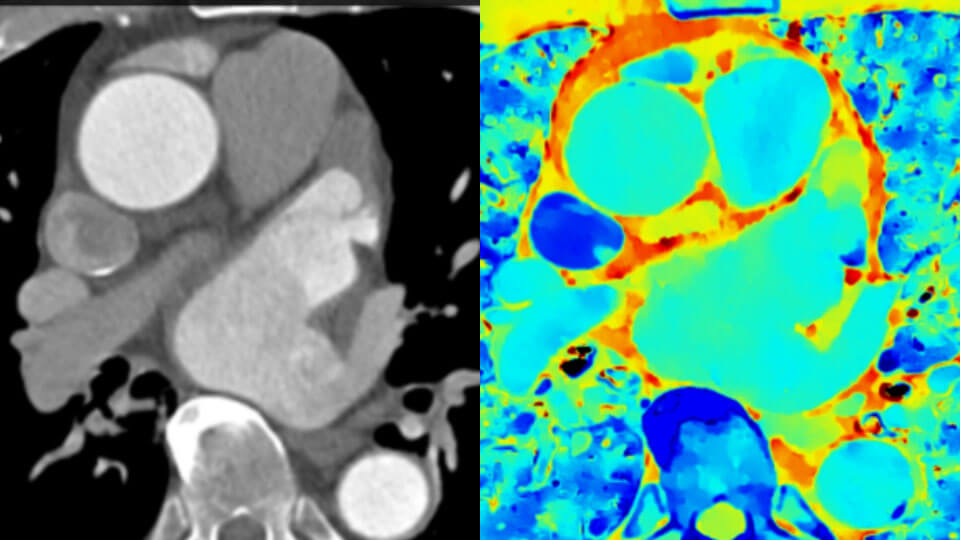
Simplemente mueva el control deslizante para comparar la TAC convencional con la TAC espectral basada en detectores.

Imagen de TAC convencional (izquierda) Imagen de TAC con detector espectral (derecha)
Ahora puede saber fácilmente tanto el "dónde están las cosas" del TAC convencional como el "lo que son las cosas" revelado por los datos del detector espectral. Las capas de datos espectrales enriquecidos mejoran la caracterización y la visualización del tejido, y reducen la necesidad de realizar exploraciones de seguimiento en exámenes subóptimos y hallazgos accidentales.
Vaya más allá de las imágenes cardíacas rutinarias con los datos clínicos adicionales que proporciona la TAC espectral basada en detectores para aplicaciones cardíacas avanzadas.
Póngase en contacto con un especialista para ver si la TAC espectral basada en detectores es adecuada para usted.


Descargue la aplicación y descubra lo fácil que es añadir la TAC espectral a su flujo de trabajo clínico. Interactúe con casos de uso reales, vea y compare hasta cinco resultados espectrales diferentes con un solo clic.
Descargue la aplicación y descubra lo fácil que es añadir la TAC espectral a su flujo de trabajo clínico. Interactúe con casos de uso reales, vea y compare hasta cinco resultados espectrales diferentes con un solo clic.

Vea los detalles del producto Spectral CT 7500

Obtenga más información sobre la tecnología de detectores espectrales

El futuro de la TAC: recuento espectral de fotones

Descubra todas las soluciones de TAC
1Impacto económico de IQon en pacientes con insuficiencia renal. Documento técnico. Philips.
You are about to visit a Philips global content page
ContinueLa información de esta página web está dirigida exclusivamente a profesionales sanitarios. Al hacer clic en "Aceptar", declara que es profesional sanitario.
Haga clic en "Cancelar" para ser redirigido a la página web de Philips.