Cardiología

La insuficiencia cardiaca es complicada, costosa y secundaria a una variedad de trastornos subyacentes, incluidas coronariopatías, valvulopatías, arritmias, miocarditis, trastornos infiltrativos (como amiloidosis), y a la quimioterapia.1,2 La insuficiencia cardiaca está asociada a una morbilidad y mortalidad considerables.1,2 Independientemente de la etiología, las herramientas de adquisición de imágenes sólidas y reproducibles son importantes para diagnosticar y controlar la progresión de la enfermedad. Vea cómo la inteligencia artificial (IA) y la automatización avanzada aportan este nivel de reproducibilidad y solidez, al tiempo que abordan la necesidad de completar el estudio y devolver los resultados de forma eficaz al médico remitente.
Desafío
La insuficiencia cardiaca es frecuente en todo el mundo y es esencial una evaluación precisa de la función cardiaca mediante ecocardiografía.1,2 La incorporación de la evaluación 3D y de deformación del VI y del VD ha sido históricamente un reto y ha requerido la combinación de habilidades especializadas.
Solución La solución de gestión de imágenes e información multimodalidad cardiovascular IntelliSpace de Philips ofrece una visión completa de los antecedentes cardiacos de un paciente. La automatización habilitada para AI del sistema de ultrasonidos cardiovascular EPIQ CVX de Philips y las herramientas de cuantificación TOMTEC-ARENA de Philips proporcionan eficiencia y reproducibilidad durante los estudios ecocardiográficos.
Resultados
Las soluciones de Philips permiten una cuantificación y análisis avanzados, con acceso a la información en cualquier momento y lugar de la empresa. Las herramientas automatizadas y habilitadas para AI para visualización, análisis y elaboración de informes optimizada ofrecen resultados sólidos y reproducibles que ayudan a hacer realidad la gestión eficaz de la insuficiencia cardiaca.
346 170 millones de dólares estadounidenses
Estimación de la carga económica mundial actual de la insuficiencia cardiaca
La insuficiencia cardiaca genera una enorme carga clínica, social y económica, y es probable que aumente en los próximos años, con una población envejecida y un mayor número de terapias para tratar la insuficiencia cardiaca. Esta carga afecta especialmente a áreas de regiones sociodemográficas inferiores que carecen de infraestructura sanitaria para hacer frente a este reto de forma eficaz.1 Se estima que la carga económica actual de la insuficiencia cardiaca en todo el mundo es de 346 170 millones de dólares estadounidenses.1 Claramente, se necesitan nuevas respuestas. Unos datos ecocardiográficos 2D y 3D sólidos y reproducibles obtenidos rápidamente son fundamentales para el diagnóstico y el tratamiento de la insuficiencia cardiaca.
La ecocardiografía es la prueba de imágenes más utilizada en la insuficiencia cardiaca.2 Proporciona información inmediata sobre los volúmenes y la función de la cámara, la función de la válvula, la función diastólica y la hemodinámica.2 La incorporación de los avances en IA y automatización a la ecocardiografía ofrece los resultados sólidos y reproducibles esenciales para el diagnóstico y el tratamiento eficaces de la insuficiencia cardiaca.

La ecocardiografía suele ser la primera prueba de imágenes cardiacas que se realiza en pacientes con sospecha de insuficiencia cardiaca. Un ecocardiograma nos proporciona una gran cantidad de información sobre la estructura y la función cardiaca utilizando tanto las herramientas 2D como las 3D. En muchas situaciones, la ecocardiografía puede ayudarnos a comprender la etiología de la insuficiencia cardiaca. Uso rutinariamente la información derivada tanto del análisis como de la deformación 2D y 3D para entender mejor a mis pacientes. AutoStrain, Dynamic HeartModel y Auto RV son herramientas valiosas que se utilizan tanto en el diagnóstico como en el control de pacientes con insuficiencia cardiaca.”
Dr. Akhil Narang
Especialista en cardiología y ecocardiógrafo, Northwestern Medicine en Chicago, IL, EE. UU.
Nuevas investigaciones indican que los pacientes hospitalizados con COVID-19 podrían estar en riesgo de desarrollar insuficiencia cardiaca, aunque no presenten antecedentes de enfermedad cardiovascular ni factores de riesgo cardiovascular. En un análisis retrospectivo de las historias clínicas electrónicas de los pacientes hospitalizados con COVID-19 confirmado se observó que ocho de los 37 pacientes que habían desarrollado una nueva insuficiencia cardiaca no presentaban antecedentes de enfermedad cardiovascular ni factores de riesgo cardiovascular. Los pacientes tendían a ser más jóvenes y con una menor masa corporal que los pacientes típicos que presentaban insuficiencia cardiaca.3
Las herramientas de adquisición de imágenes sólidas y reproducibles son importantes para diagnosticar y controlar la progresión de la enfermedad en la insuficiencia cardiaca. Las directrices actuales apoyan el uso de herramientas avanzadas de ecocardiografía, como la evaluación 3D y la deformación longitudinal de los volúmenes y funciones del VI y el VD.

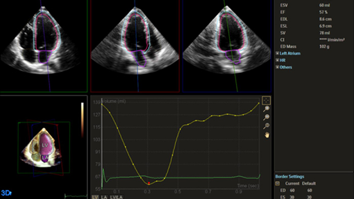
Automatización para una cuantificación cardiaca reproducible sólida y probada tanto en 2D como en 3D.

Cuantificación mediante Dynamic HeartModel.
¿Le gustaría saber más sobre una gama de soluciones para procesos asistenciales que pueden proporcionar ecografías cardiacas rápidas y reproducibles tanto en 2D como en 3D, incluyendo análisis integrado y no integrado, y una comunicación sencilla de los resultados para el tratamiento de la insuficiencia cardiaca? Estamos encantados de compartir con usted lo que hemos aprendido.
Lea el artículo completo para obtener más información sobre el control efectivo de la insuficiencia cardiaca durante todo el proceso asistencial.
Los resultados de estudios de casos no predicen los resultados de otros casos. Estos pueden variar. 1 Lippe G, Sanchis-Gomar F. Global epidemiology and future trends of heart failure. AME Med J. 2020;5:15. DOI: 10.21037/amj.2020.03.03. 2 Ponikowski P, Voors A, Anker S, et al. 2016 ESC Guidelines for the diagnosis and treatment of acute and chronic heart failure: The Task Force for the diagnosis and treatment of acute and chronic heart failure of the European Society of Cardiology (ESC): Developed with the special contribution of the Heart Failure Association (HFA) of the ESC Eur Heart J. 2016;37(27):2129–2200. doi.org/10.1093/eurheartj/ehw128 3 Alvarez-Garcia J, Jaladanki S, Rivas-Lasarte M, et al. New heart failure diagnoses among patients hospitalized for COVID-19. Letter. J Am Coll Cardiol. 2021;77(17):2260–2262.
Compartir este artículo
Regístrese para recibir noticias y actualizaciones de Philips
Desafío
La insuficiencia cardiaca es frecuente en todo el mundo y es esencial una evaluación precisa de la función cardiaca mediante ecocardiografía.1,2 La incorporación de la evaluación 3D y de deformación del VI y del VD ha sido históricamente un reto y ha requerido la combinación de habilidades especializadas.
Solución La solución de gestión de imágenes e información multimodalidad cardiovascular IntelliSpace de Philips ofrece una visión completa de los antecedentes cardiacos de un paciente. La automatización habilitada para AI del sistema de ultrasonidos cardiovascular EPIQ CVX de Philips y las herramientas de cuantificación TOMTEC-ARENA de Philips proporcionan eficiencia y reproducibilidad durante los estudios ecocardiográficos.
Resultados
Las soluciones de Philips permiten una cuantificación y análisis avanzados, con acceso a la información en cualquier momento y lugar de la empresa. Las herramientas automatizadas y habilitadas para AI para visualización, análisis y elaboración de informes optimizada ofrecen resultados sólidos y reproducibles que ayudan a hacer realidad la gestión eficaz de la insuficiencia cardiaca.
Compartir este artículo
You are about to visit a Philips global content page
ContinueLa información de esta página web está dirigida exclusivamente a profesionales sanitarios. Al hacer clic en "Aceptar", declara que es profesional sanitario.
Haga clic en "Cancelar" para ser redirigido a la página web de Philips.