Nuestro paquete Vascular ofrece herramientas intervencionistas vasculares específicas y dispositivos vasculares avanzados para avalar los altos niveles de estandarización y redefinir los resultados para sus pacientes con arteriopatías periféricas. Respaldan cada paso del procedimiento: mientras decide, guía, trata y confirma los resultados del tratamiento.

Nuestras soluciones de quirófano híbrido Azurion proporcionan un entorno de atención quirúrgica innovador que ofrece una flexibilidad procedimental excepcional y facilidad de uso, al mismo tiempo que cumple con los más altos estándares de higiene y control de infecciones quirúrgicas. El sistema montado en el techo proporciona flexibilidad ilimitada de adquisición de imágenes para diversos procedimientos y libertad de posicionamiento excepcional para los equipos médicos. Todo esto se consigue en una configuración compacta y proporciona un entorno muy rentable y preparado para los procedimientos del futuro. Al trabajar, Philips Azurion con FlexArm le ayuda a optimizar el rendimiento de su sala y a proporcionar una atención superior.

Nuestros catéteres para imágenes periféricas ayudan a evaluar la ubicación de la enfermedad y la morfología de la lesión, incluidos el calcio y el trombo. También se pueden utilizar IVUS para determinar el tamaño de los stents correctamente y confirmar la finalización del tratamiento.

Nuestros dispositivos de aterectomía periférica son herramientas excelentes para eliminar bloqueos del torrente sanguíneo. Nuestros productos no láser funcionan como dispositivos independientes que no tienen que emparejarse con otros sistemas.

La gama adaptable de productos y tecnologías vasculares periféricos de Philips permite a los profesionales sanitarios evaluar de forma rápida y precisa a los pacientes con problemas vasculares periféricos y preparar los vasos para la administración precisa de un tratamiento óptimo.

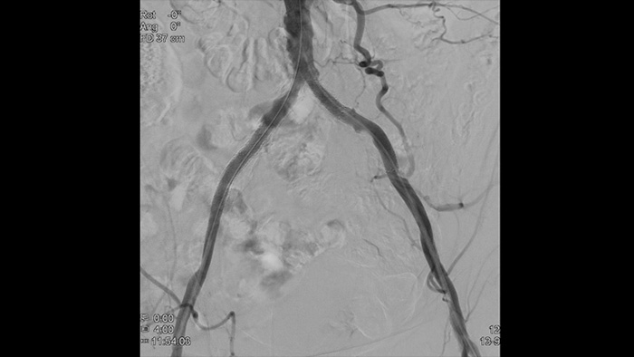
Imágenes de alta definición de vasos con un detalle vascular superior para facilitar estrategias de tratamiento, navegación y seguimiento precisos.
Soluciones para procedimientos venosos ofrecidas por la terapia guiada por imagen de Philips.
Más información Exención de responsabilidades La disponibilidad de productos está sujeta a autorización normativa. Póngase en contacto con el representante de ventas local para comprobar la disponibilidad en su país. Referencias 1 Jens S, Marquering HA, Koelemay MJ, Reekers JA. Perfusion angiography of the foot in patients with critical limb ischemia: description of the technique. Cardiovasc Intervent Radiol. 2015 Feb;38(1):201-5. doi: 10.1007/s00270-014-1036-5. 2 Los resultados son específicos del centro en el que se obtuvieron y pueden no reflejar los resultados que se podrían obtener en otros centros. * Los resultados de estudios de casos no predicen los resultados de otros casos. Estos pueden variar.
You are about to visit a Philips global content page
ContinueLa información de esta página web está dirigida exclusivamente a profesionales sanitarios. Al hacer clic en "Aceptar", declara que es profesional sanitario.
Haga clic en "Cancelar" para ser redirigido a la página web de Philips.