Accidente cerebrovascular isquémico

Tratamiento de accidentes cerebrovasculares isquémicos

Neurovascular icon

Prepárese para hacer frente a nuevos desafíos en el tratamiento de accidentes cerebrovasculares isquémicos

 

Observamos un fuerte aumento en las intervenciones de trombectomía como tratamiento de primera línea para los pacientes con accidente cerebrovascular isquémico. También hay un cambio en el proceso de selección de pacientes, de basados en el tiempo a basados en imágenes. Nuestro paquete Neurovascular ha sido desarrollado para ayudar a abordar esta tendencia. Puede ofrecer altos niveles de eficiencia en el procedimiento y redefinir los resultados para suspacientes con accidente cerebrovascular. 

Productos destacados para este procedimiento

Azurion 7 B20/15

Sistema de terapia guiada por imagen Azurion 7 B20/15 

Sistema de terapia guiada por imagen biplano con un detector en el plano frontal de 20" y uno en el lateral de 15".

Imágenes claras mientras se asegura y gestiona la seguridad de todos los involucrados

Experimente un flujo de trabajo clínico sencillo y fluido con las funciones neurológicas específicas 

    ProcedureCards (guías de procedimiento clínico)

    ProcedureCards (guías de procedimiento clínico)

    Reduce el tiempo de preparación de la sala respaldado por las ProcedureCards (tarjetas de procedimiento clínico).

    Ayude a optimizar y estandarizar la configuración del sistema

    Ayude a reducir los errores de preparación

    Soluciones clínicas para el tratamiento de accidentes cerebrovasculares isquémicos

    Infographic image
    Tres SmartCT

    Visualización similar a la de un TAC

     

    SmartCT Soft Tissue  genera una visualización similar a la de un TAC convencional de tejido blando y respalda el diagnóstico de accidentes cerebrovasculares de tres maneras. Una exploración sin contraste ayuda a la detección de cambios isquémicos tempranos. Una exploración en fase temprana ayuda a identificar la oclusión proximal. Una exploración con contraste en fase tardía respalda la detección de colaterales.

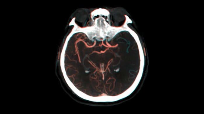
    SmartCT Vaso IV

    Compruebe la ubicación y la longitud de un coágulo

    SmartCT Vaso permite la visualización más allá del coágulo con la adquisición de imágenes periprocedimiento de los aspectos del vaso distal en el accidente cerebrovascular isquémico. SmartCT Vaso es una técnica de adquisición basada en una exploración por TAC de haz cónico y una inyección de contraste intraarterial. Mediante la repleción retrógrada, las estructuras de los vasos antes y después del coágulo se vuelven visibles. Además, SmartCT Vaso 3D Roadmap puede utilizarse para visualizar dispositivos de recuperación de coágulos. 

    Ver la repleción colateral

    Visualización de la repleción colateral

    Dual View permite visualizar  los volúmenes de TAC de haz cónico de fase temprana y tardía yuxtapuestos mejorando la identificación de penumbra y la visualización de la repleción colateral. 

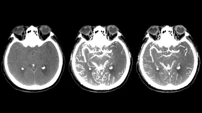
    Revisión de hemorragias periprocedimiento

    SmartCT Soft Tissue

    Utilice las imágenes obtenidas mediante SmartCT Soft Tissue (similares a TAC convencional) en el paquete Neurovascular para comprobar el éxito del tratamiento y las hemorragias.

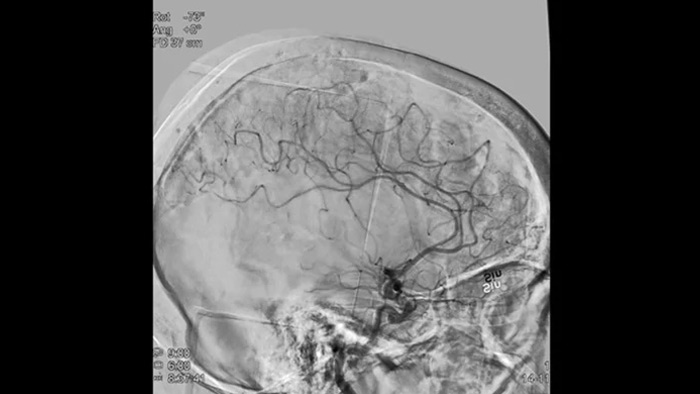
    Imágenes nítidas con angiografía de sustracción digital (DSA) 2D con tecnología ClarityIQ

    DSA 2D con tecnología ClarityIQ

    ClarityIQ aplica la compensación automática del movimiento durante la angiografía de sustracción digital (DSA) en tiempo real para mantener imágenes nítidas de los vasos. Esto respalda la toma de decisiones fundamentadas durante los procedimientos de accidente cerebrovascular.

    Las referencias anatómicas admiten una navegación 3D precisa

    Navegación 3D precisa con SmartCT Roadmap

    SmartCT Roadmap proporciona referencias anatómicas para permitir la navegación precisa de la guía, el catéter y el dispositivo al coágulo.

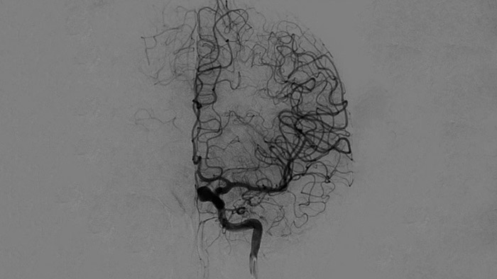
    Confirme el éxito del tratamiento

    Visualización DSA

    Las visualizaciones de DSA de alta calidad le permiten evaluar si ha recuperado el coágulo completo y si se han dispersado trozos de coágulo distalmente en el cerebro. Puede verificar la restauración del flujo sanguíneo a la penumbra y verificar si hay hemorragias periprocedimiento.

    Mejore la visualización de la vasculatura

    Roadmap Pro

    Tome decisiones informadas sobre si se puede alcanzar el coágulo y qué vía utilizar. Roadmap Pro, un avanzado mapa de doble contraste, ayuda a mejorar la visualización de los vasos superpuestos, a la vez que equilibra la exposición a la radiación.

    Innovaciones en el flujo de trabajo para el tratamiento de accidentes cerebrovasculares isquémicos


    Azurion ofrece una serie de innovaciones en el flujo de trabajo diseñadas para ayudar al personal de guardia a trabajar de manera eficiente y sencilla, a la vez que permanece únicamente centrado en el paciente y controla la dosis de radiación durante las intervenciones de accidente cerebrovascular isquémico agudo.

    Azurion Biplane neuro cerebral
    FlexVision Pro

    Control completo de la mesa que ahorra tiempo


    FlexVision Pro ofrece acceso directo y control total en las exploraciones de diagnóstico preoperatorias, además de información del paciente y herramientas de planificación en la mesa para ahorrar tiempo y evitar desplazamientos innecesarios dentro y fuera del área estéril. El módulo Pro de pantalla táctil permite el control en la mesa de las imágenes y aplicaciones con la facilidad de uso de una tablet.

    Trabaje en equipo de forma inmediata

    Trabajo simultáneo en paralelo

    El trabajo simultáneo en paralelo permite a los miembros del equipo trabajar en diferentes tareas al mismo tiempo sin interrupciones entre sí para acortar los tiempos de procedimiento para los pacientes con accidente cerebrovascular crítico.

    El control completo desde la mesa ahorra tiempo

    Apoyacabezas Azurion Neuro

    Se puede utilizar para reducir el movimiento de los pacientes inquietos bajo sedación consciente para ayudar a reducir los artefactos causados por el movimiento durante el procedimiento.

    Mesa de quirófano integrada para cuidados críticos

    Azurion con mesa de operaciones Getinge Magnus

    La mesa de quirófano Getinge Magnus se puede utilizar para atención de urgencias y traumatología. Se sincroniza con los sistemas de rayos X de Philips para aprovechar las soluciones avanzadas de Philips.

    Azurion 7 M20 puede simplificar los procedimientos

    Azurion 7 C20 en neurología

    Los sistemas de angiografía monoplano se utilizan cada vez más como sistemas específicos para accidentes cerebrovasculares o como sistemas de respaldo en departamentos de neurología intervencionista con un sistema biplano. Azurion 7 M20 es compatible con todas las herramientas neurológicas intervencionistas avanzadas.

    Tratamiento más rápido del accidente cerebrovascular que mejora los resultados.  

    Cuando se trata de un accidente cerebrovascular agudo, los pacientes merecen la mejor atención. Hoy en día, los pacientes pueden beneficiarse de la trombectomía mecánica mediante pautas modificadas que amplían el período de tiempo para el tratamientoendovascular.

    Vídeo DTAS

    Descubra los diversos procedimientos en la terapia guiada por imagen neurovascular

    • Tratamiento de aneurisma cerebral

      Tratamiento de aneurisma cerebral

      Obtenga imágenes claras y navegue de manera eficiente cuando trate los aneurismas cerebrales.

      Más información

    Exención de responsabilidades

    La disponibilidad de productos está sujeta a autorización normativa. Póngase en contacto con el representante de ventas local para comprobar la disponibilidad en su país.

     

    Referencias

    1 www.mdedge.com/neurology/article/107506/stroke/stroke-centers-increase-and-refine-use-thrombectomy?sso=true

    2 En un estudio de simulación con más de 60 usuarios de todo el mundo, los resultados obtenidos durante las pruebas realizadas en el periodo de noviembre de 2015 a febrero de 2016. El diseño y la supervisión de las pruebas corrieron a cargo de Use-Lab GmbH, consultoría de ingeniería independiente y objetiva dedicada a la comprobación de la facilidad de uso y empresa especializada en el diseño de interfaces de usuario. En las pruebas participaron 31 profesionales sanitarios de EE. UU. (16 médicos y 15 técnicos) y 30 médicos de Europa (15 médicos y 15 técnicos), que realizaron procedimientos con Azurion en un entorno de laboratorio intervencionista simulado. Los resultados de estudios de casos no predicen los resultados de otros casos. Estos pueden variar.

    3 El nivel de experiencia necesario del usuario se especifica en las instrucciones de uso como el perfil del usuario previsto.

    4 Las reconstrucciones 3D con configuraciones de resolución más altas pueden tardar más tiempo

    Estamos encantados de estar en contacto con usted

    Díganos en qué le podemos ayudar.

    1
    Seleccione su área de interés
    2
    Detalles de contacto

    You are about to visit a Philips global content page

    Continue

    You are about to visit a Philips global content page

    Continue

    Nuestro sitio se puede visualizar mejor con la última versión de Microsoft Edge, Google Chrome o Firefox.

    ¿Es usted profesional sanitario?
    No olvide seleccionar la casilla

    La información de esta página web está dirigida exclusivamente a profesionales sanitarios. Al hacer clic en "Aceptar", declara que es profesional sanitario.

    Haga clic en "Cancelar" para ser redirigido a la página web de Philips.