
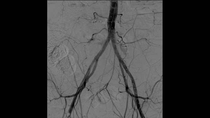
Uno de los principales especialistas de España en cirugía vascular mínimamente invasiva es el Dr. Ramon Vila, jefe del Departamento de Angiología y Cirugía Vascular, Hospital Universitario de Bellvitge, Barcelona, España. Este hospital realiza 1000 cirugías vasculares al año. Con el arco de quirófano Zenition de Philips, el Dr. Vila obtiene excelentes imágenes de alta calidad que le permiten realizar la mayoría de los procedimientos vasculares en la configuración de dosis baja.
Con Zenition, nuestra calidad de imagen DSA ha mejorado mucho. Ya no vemos una imagen granulada, sino una imagen muy clara."
Dr. R. Vila, MD
Hospital Universitario de Bellvitge, Barcelona, España
Diseñado para facilitar su uso en entornos de quirófano en constante evolución, Zenition se basa en el flujo de trabajo Unify de Philips para transmitir una sensación inmediata de familiaridad y confianza durante cualquier intervención y procedimiento quirúrgico.

La angiografía por sustracción digital (DSA) se utiliza en procedimientos vasculares intervencionistas para visualizar claramente los vasos sanguíneos mediante la eliminación de estructuras que puedan oscurecer la visibilidad de los vasos. La fluoroscopia Roadmap superpone una imagen de contraste sustraída previamente adquirida en la fluoroscopia en tiempo real, lo que le permite rastrear un dispositivo sin volver a inyectar el contraste.
Además de la plataforma Zenition 70, el módulo de pantalla táctil2 (TSM) admite el control en la mesa para cirujanos durante los procedimientos. En la pantalla táctil, puede seleccionar, arrastrar y acercar elementos con facilidad, lo que implica que puede ver imágenes al instante y tener un mayor control de la imagen durante los procedimientos.

Utilice la herramienta de creación de contornos para marcar fácilmente una bifurcación o rama lateral simplemente dibujando en el monitor de la estación de visualización móvil con el dedo o un ratón conectado externamente.

Mejore la visibilidad de la vasculatura tortuosa con opciones de contraste de yodo y CO2. Controle fácilmente las inyecciones desde la mesa. En el caso de pacientes con insuficiencia renal, puede utilizar la opción CO2 para visualizar fácilmente los vasos pequeños sin utilizar contraste de yodo.

DoseWise Zenition de Philips es una combinación única de técnicas, programas y prácticas, incorporada en nuestros sistemas de arco en C móviles Zenition, que proporcionan una calidad de imagen clínicamente relevante durante cada aplicación, a la vez que manejan la dosis de manera eficiente.
Es más fácil ver cable guía en comparación con nuestro antiguo sistema. Ahora puede ver la punta y el ángulo del cable que se desplaza, incluso con cables de 0,014 pulgadas.
Esto se debe a que Zenition compensa la parte metálica y la parte que se mueve."
Dr. R. Vila, MD
Hospital Universitario de Bellvitge, Barcelona, España
1 Resultados obtenidos durante las pruebas de usuarios realizadas en noviembre de 2013 por Use-Lab GmbH, una empresa independiente. En las pruebas participaron 30 clínicos radicados en EE. UU. (15 médicos formando equipo con 15 enfermeras o técnicos de rayos de rayos X), que realizaron procedimientos simulados utilizando los sistemas móviles de rayos X de Philips en un entorno quirúrgico simulado. Ninguno de ellos había trabajado junto con anterioridad. 2 El módulo de pantalla táctil (TSM) es opcional solo en Zenition 70.
You are about to visit a Philips global content page
ContinueLa información de esta página web está dirigida exclusivamente a profesionales sanitarios. Al hacer clic en "Aceptar", declara que es profesional sanitario.
Haga clic en "Cancelar" para ser redirigido a la página web de Philips.