
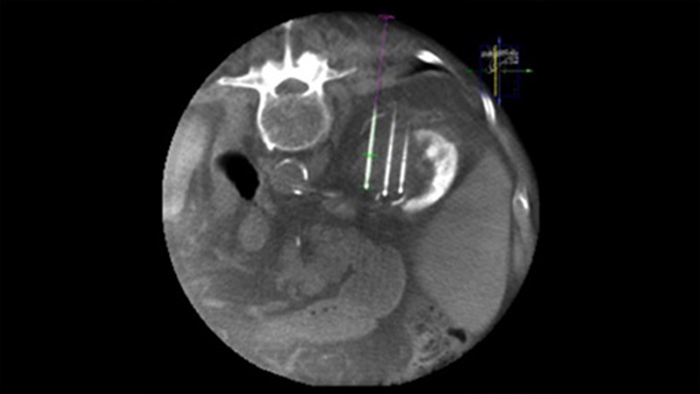
La heterogeneidad de la lesión y la falta de notoriedad limitan la calidad de las muestras, así como la viabilidad de las biopsias cuando se realizan mediante ecografía o CT convencional. Con el aumento de la adopción de programas de detección en los pulmones, se han detectado cánceres pulmonares incipientes que se manifiestan como nódulos pequeños con mayor frecuencia que antes. Se observó que el 14.5% de una población seleccionada tenía nódulos ≤10 mm1-2. Nuestra tecnología de navegación guiada por aguja con CBCT aumenta la precisión y permite la selección de lesiones más pequeñas (<=1 cm) o heterogéneas, con mayor precisión con menos reposicionamiento de la aguja y menos dosis que la TC convencional.
en comparación con la CT convencional1
menos reposicionemiento de la aguja en comparación con la CT convencional1
menos dosis en la piel en comparación con la CT convencional1


La ablación percutánea (radiofrecuencia, microondas y crioablación) es un tratamiento mínimamente invasivo de eficacia comprobada de tumores renales, hepáticos, pulmonares y óseos. Es fundamental definir los límites del tumor y decidir un número óptimo de agujas y la trayectoria de la aguja correspondiente para poder realizar un tratamiento tumoral completo y no causar daños en el tejido circundante. Navegar con precisión en dosis bajas hacia la lesión de interés sin necesidad de cambiar la posición de la aguja aumenta la oportunidad de éxito y reduce el riesgo de complicaciones en las biopsias o ablaciones. La confirmación del criterio de valoración del tratamiento de ablación se puede lograr con imágenes 3D mientras el paciente aún se encuentra en la mesa.

SmartCT Soft Tissue ofrece una técnica de adquisición de CT de haz cónico (CBCT) aumentada con guía paso a paso, visualización 3D avanzada y herramientas de medición; todas en el módulo de pantalla táctil de la mesa.

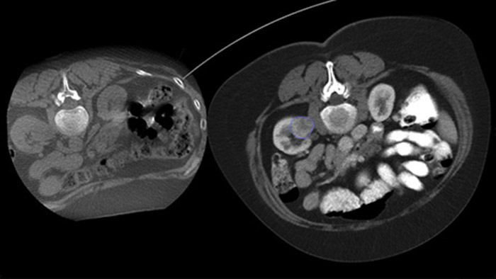
Dual View permite la superposición de una imagen 3D previa al procedimiento (TC/RM/PET-CT) en una CBCT Dual 3D durante procedimiento para visualizar mejor las lesiones y acceder a la entrada crítica para la planificación de la aguja.

XperGuide proporciona una orientación por imágenes en tiempo real extremadamente preciso de cada aguja a una posición objetivo mediante la superposición de trayectorias preplanificadas con imágenes fluoroscópicas3.

Con CBCT, adquiera una CBCT posterior a la ablación para demostrar el alcance de la cobertura del tumor y confirmar la integridad de su tratamiento.
Soluciones dedicadas exclusivamente al guiado eficaz del tratamiento y la toma de decisiones para la embolización de tumores ofrecida por la terapia guiada por imagen de Philips.
Más información Exención de responsabilidades La disponibilidad de productos está sujeta a autorización normativa. Póngase en contacto con el representante de ventas local para comprobar la disponibilidad en su país. Referencias * XperGuide Ablation es una función opcional de XperGuide 1 Abi-jaoudeh et al , Cone Beam vs Conventional CT Navigation for Image-Guided Biopsy, J VascIntervRadio; 2016; 27: 1342–1349. 2 Floridi C et al, Percutaneous needle biopsy of mediastinal masses under C-arm conebeam CT guidance: diagnostic performance and safety, Medical Oncology, 2017; 34(4): 1-7 3 Ji Yung Choo; Percutaneous transthoracic needle biopsy of small (1 cm) lung nodules under C-arm cone-beam CT virtual navigation guidance; Eur Radiol (2013) 23:712–719.
You are about to visit a Philips global content page
ContinueLa información de esta página web está dirigida exclusivamente a profesionales sanitarios. Al hacer clic en "Aceptar", declara que es profesional sanitario.
Haga clic en "Cancelar" para ser redirigido a la página web de Philips.