If you were registered for ESC 2023, but were not able to attend the satellite symposium, you can still view it through the ESC website. Top cardiology thought leaders addressed some of the major challenges in peri-interventional and diagnostic echocardiography, such as advancing and complementing imaging techniques during tricuspid valve interventions, a revolutionary imaging workflow for occlusion of the left atrial appendage, and the importance of first-time-right ultrasound imaging during cancer therapy.

If you weren’t able to attend ESC 2023, you can sign up to access it when it becomes available on demand.
ESC registered attendees, access the recording here.

Erasmus Univ. Hosp., Netherlands

Leiden Univ. Hosp., Netherlands

La Paz Univ. Hosp., Spain

Columbia Univ Irving Medical Ctr, USA

St Antonius Hospital, Netherlands
Multimodality learning is crucial to the future of cardiac care. I know you won't want to miss these recordings of hands-on sessions.

ISMETT UPMC Senior Imaging Consultant Palermo, IT
You can still access recordings of 4 full days of hands-on workshops about best practices in multimodality cardiac imaging with expert teams. See first-time-right imaging for cardiac care, including valvular and related diseases, cardiomyopathies, and intracardiac masses and cardiac tumors. Sign up to receive access to these on demand sessions and other news about Philips and cardiac care.

Philips Compact 5500 CV (New)
Philips Compact Ultrasound System 5500CV brings full functionality and first-scan answers to you, wherever you are.

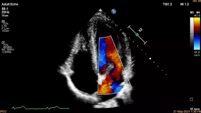
Cardiovascular Ultrasound
Increase diagnosis confidence and clinical efficiency through superior image quality, advanced quantification tool and automation technology.

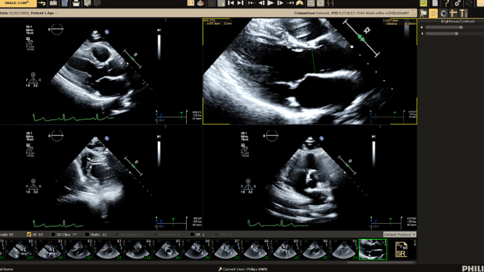
Ultrasound Workspace
Allow for greater efficiency in viewing, analysis and reporting by giving care teams the flexibility to adopt different workflows based on their current and future needs.

Cardiovascular Workspace
Provide a single point of access to patient’s cardiovascular diagnostic information and multi-modality images at excellent diagnostic quality, including prior exams, as well as findings, measurements, and reports.

Advanced Visualization Workspace
Review, analyze and quantify clinical information from different modalities and for various clinical indications with AI-enabled 3D models, maps and other quantitative tools.

Spectral CT 7500
Unlock the full potential of a Philips CT as a non-invasive cardiac diagnostic tool.

MR – Ingenia Ambition
Realize the potential of MR throughout the pathway with ultrafast exams, enhanced workflow, high-quality diagnostic imaging and enhanced patient comfort.

Coronary suite
Philips coronary suite transforms complex PCI procedures into confident care. Advanced clinical and workflow applications, therapeutic and diagnostic devices, and leading services, all working together to efficiently support every step or coronary procedures.

Extended Holter – ePatch
The Philips ePatch paves the way for you to deliver better care for the heart, at home, with greater efficiency. As a result, you and your patients gain a strong foundation for the next steps in the cardiac care journey.

Cardiologs
At Philips, we’re committed to delivering on the promise of Artificial Intelligence for cardiac care. That’s why we are excited to announce this year that Cardiologs is joining our leading portfolio of cardiology solutions at EHRA.
1. The Cardiologs Platform interpretation results are not intended to be the sole means of diagnosis. It is offered to physicians and clinicians on an advisory basis only in conjunction with the physician’s knowledge of ECG patterns, patient background, clinical history, symptoms, and other diagnostic information.

Philips Global Press Office Tel.: +31 631 639 916
You are about to visit a Philips global content page
ContinueYou are about to visit a Philips global content page
ContinueLa información de esta página web está dirigida exclusivamente a profesionales sanitarios. Al hacer clic en "Aceptar", declara que es profesional sanitario.
Haga clic en "Cancelar" para ser redirigido a la página web de Philips.